В Новокузнецке врачи не заметили перелом бедра у пациента и отправили его на работу

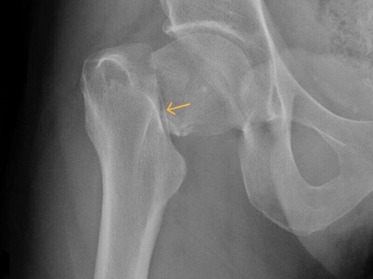
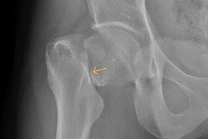
В Новокузнецке врачи городской больницы имени Г.П. Курбатова допустили грубую ошибку — не распознали у пациента перелом шейки бедра. После обращения мужчины, получившего травму при падении на улице, медики ограничились поверхностным осмотром и поставили неверный диагноз — «растяжение связок».

В Новокузнецке врачи не заметили перелом бедра у пациента и отправили его на работу
Фото: ВК/Новокузнецк 112

Несмотря на сильную боль, мужчине назначили амбулаторное лечение, а вскоре и вовсе закрыли больничный лист, направив его обратно на работу. Симптомы тем временем усиливались, и лишь спустя полтора месяца компьютерная томография показала — у пациента тяжёлый перелом.

Эксперты страховой компании «Альфа-Страхование-ОМС» установили: при осмотре врачи нарушили стандарты диагностики. Материалы проверки передали в правоохранительные органы, которые добились проведения судебного разбирательства.

Суд частично удовлетворил иск пострадавшего. Больница обязана выплатить мужчине 150 тысяч рублей компенсации морального вреда.

 

Что еще почитать

В регионах

Новости региона

Все новости

Новости

Самое читаемое

...
Сегодня
...
...
...
...
Ощущается как ...

Популярно в соцсетях

Автовзгляд

Womanhit

Охотники.ру